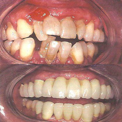
Tratamientos dentales de la Clínica Dental Barrau

Prótesis, implantes, endodoncia, ortodoncia... en CLÍNICA DENTAL BARRAU cuidamos su salud bucodental con las técnicas y materiales más innovadores.

Solicita cita previa CONTACTAR